解剖と疫学

腎盂は腎臓の一部で尿管は腎臓と膀胱をつないでいる管のことです。どちらも腎臓で作られた尿を集めて膀胱に運ぶ働きをしています。腎臓と同じように左右に一つずつあります。腎盂と尿管は併せて上部尿路がんと呼ばれています。腎盂尿管がんは50~70歳代に好発し、男女比はおよそ2:1です。喫煙は最も重要な危険因子で、喫煙者は非喫煙者と比べて約3倍の発症リスクを持っています。さらに、長期喫煙者ではそのリスクはさらに増加します。また、ベンジジンなどの芳香族アミン類(顔料=インク)は化学発がん物質として有名で、現在ではその製造が中止されています。また、石油/木炭/アスファルト/タールなどの産業従事者は4~5倍の発症リスクを有するとされていますので注意が必要です。尿路結石や尿路閉塞に伴う慢性細菌性感染も危険因子とされています。シクロフォスファミド(乳がんや白血病などに使用される抗がん剤)やフェナセチン含有鎮痛剤(現在は発売中止に)などの長期連用によっても発症リスクは上昇します。
尿管腫瘍は約70%が下部尿管に発生し、上部尿管は少ないといわれています。膀胱がん治療後に腎盂尿管腫瘍の発生は、2~4%と報告されていますが、逆に腎盂尿管治療後に膀胱内再発は30~50%存在するとされています。
診断方法
症状は血尿が最も多く、75%以上に認められます。肉眼的血尿だけでなく顕微鏡的血尿(顕微鏡検査ではじめて確認できる血尿)や尿潜血でもがんが発見されることがあります。検尿で異常があれば必ず専門医を受診しましょう。次に多い症状は側腹部痛で約30%です。この側腹部痛は局所における腫瘍増殖により尿路狭窄や閉塞が生じる場合や、凝血塊が尿管につまり尿管閉塞が起こり水腎症が生じることで発生します。また、無症状で他の疾患精査中に偶然発見される腎盂尿管腫瘍もあります。 腎盂・尿管がんが疑われる場合にはCTなどの画像検査と尿細胞診検査を行います。各検査について説明します。
1)腹部超音波検査(エコー)
血尿を認めた場合、CTと違って被曝の心配がありませんのでスクリーニング検査としてよく行われます。しかし、CTの精度の上昇とともにスクリーニング検査もCTの方が多くなされるようになってきました。
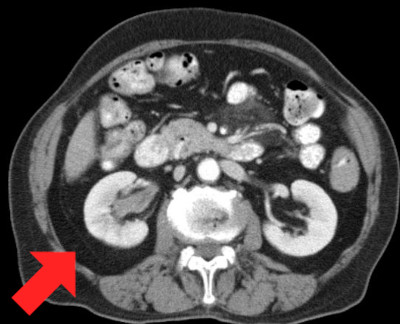
2)CT検査
CTでは、腫瘍の広がりのみでなく、リンパ節や他臓器への転移の検索にも有用です。造影剤(静脈内注射)を使用することでより詳細な情報が得られます。エコーと違い放射線の被爆の問題がありますが、通常の検査で心配することはありません。
3)排泄性腎盂造影(静脈性尿路造影)
造影剤を静脈注射し、経時的に何回か腹部レントゲン撮影をする検査です。尿の流れに異常があるかどうかがわかり、がんの有無を判定できます。しかし、エコーと同様にCTの性能向上のために必須検査ではなくなりました。
4)MRI
CTで診断が確定しない場合や、ヨード・アレルギーなどで造影剤が使用できない場合などに行われます。CT同様に断層写真が撮れますが、撮影原理が異なるためCTとは違った情報が得られ診断に役立ちます。また、被曝の心配が無いのも特徴です。
5)膀胱ファイバー
軟性膀胱鏡(胃カメラ同様の軟らかい膀胱鏡。従来の硬性鏡に比べ患者さんの負担は非常に軽いものとなっています。)を用いて膀胱内を観察します。腎盂・尿管がんの約半数に膀胱がん同時発症もしくは膀胱内再発が認められます。
6)逆行性腎盂造影と尿細胞診
経尿道的に内視鏡を膀胱内に挿入し、膀胱内に開口する尿管の出口(尿管口)よりカテーテル(細い管)を逆行性(尿の流れに逆行するという意味です)に挿入することによって直接腎盂・尿管を造影、描出します。また、同時に分腎尿(片腎のみから採取される尿)を採取し、尿細胞診に提出します。このときの分腎尿の尿細胞診が陽性であれば、確定診断が得られたことになり治療に移ります。
尿細胞診は尿中にがん細胞が出ていないかどうかを調べる検査です。尿細胞診は5段階で評価されます。1と2は悪性所見がなく、3は疑陽性(悪性の疑いあり)、4と5は陽性でがんの存在が強く疑われます。腎盂・尿管がんの35-80%を検出できると言われており、がんの悪性度が高くなればなるほど検出率も上がります。自然排尿で診断できる場合もありますがその信頼性は低く、腎盂尿管腫瘍の場合には逆行性腎盂造影時に選択的腎盂尿管尿細胞診採取が必須です。自然腎盂尿管尿のみならず、腎盂尿管洗浄尿採取や画像錠疑わしい部位での擦過尿細胞診採取を行い、検体採取の工夫をしています。尿管狭窄が強く逆行性に尿管カテーテルの挿入ができない場合には超音波で経皮的に腎盂穿刺を行い、順行性に尿の採取を行います。
7)尿管鏡および腎盂鏡検査
腎盂尿管鏡検査は膀胱鏡よりさらに細いファイバーを尿管内に直接挿入し、観察を行う検査です。このとき異常があれば生検を行うことも可能です。最近ではファイバーの性能向上のため診断効率が非常に上昇し、逆行性腎盂造影の代わりに尿管鏡を行うことが多くなっています。尿管鏡での生検の診断効率は80~90%程度とされていますが、深達度(T分類)の評価には限界があります。この検査は非常に有用ではありますが、検査中の腎盂内圧の上昇により腫瘍細胞の逆流が生じ、がん細胞の散布の危険性が指摘されています。また、検査手技に伴う尿管穿孔や出血など合併症の危険性もあり、注意が必要です。
臨床病期
以上の検査結果を組み合わせ、病期(ステージ:がんの進行度)が決定されます。病期分類にはTNM分類がよく使用されます。T:原発腫瘍(がんの状態)、N:リンパ節、M:転移を意味します。TNM分類は時々改訂され新しくなりますが、現在最も新しい分類は2017年の改定版です。以下に2017年TNM分類を示します。
TNM分類
- T:原発腫瘍の壁内深達度
- Ta:乳頭状非浸潤がん
- Tis:上皮内がん(CIS)
- T1:粘膜上皮結合織に浸潤する腫瘍
- T2:筋層に浸潤する腫瘍
- T3:腎盂では筋層を超えて腎盂周囲脂肪組織または腎実質に浸潤、尿管では筋層を超えて尿管周囲脂肪組織に浸潤
- T4:隣接臓器または腎実質を超えて腎周囲脂肪組織に浸潤
- N:所属リンパ節
- N0:所属リンパ節転移なし
- N1:最大径が2cm以下の1個のリンパ節転移
- N2:最大径が2cmを超える1個のリンパ節転移あるいは多発性リンパ節転移
- M:遠隔転移
- M0:遠隔転移なし
- M1:遠隔転移あり
ステージ分類
- 0期:TaあるいはTisでリンパ節転移および遠隔転移なし
- 1期:T1でリンパ節転移および遠隔転移なし
- 2期:T2でリンパ節転移および遠隔転移なし
- 3期:T3でリンパ節転移および遠隔転移なし
- 4期:T4あるいはリンパ節転移あるいは遠隔転移あり
予後
疾患特異的5年生存率(死亡原因を腎盂・尿管がんのみに絞った場合の生存率)は次のように報告されています。(米国での多施設の結果です)
- 0期:94%
- 1期:91%
- 2期:75%
- 3期:54%
- 4期:12%(ただし手術症例のみ)
進行するととても予後が悪くなります。しかし、最近では周術期化学療法(手術前後に行う薬物療法)の有用性や新規抗癌薬の登場により生存率の延長が期待されています。また、腎盂尿管がんの再発には、局所再発(手術した部位の再発)や遠隔転移以外に、膀胱内再発があります。この膀胱内再発は30-40%に起こることが知られて折り、膀胱内再発の治療も腎盂尿管がんの治療では重要です。
最新情報はこちらをご覧ください。
がん種別統計情報:腎盂尿管がん(外部サイト)
(2025年1月更新)




